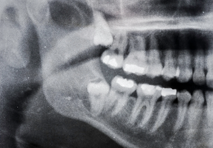
Wisdom tooth removal is a common dental procedure where the third molars, known as wisdom teeth, are extracted These teeth can often cause problems, such as pain, overcrowding, or being impacted, which means they don’t have enough room to grow properly.
The procedure is typically performed by an oral surgeon or a dentist. You’ll be given anesthesia to ensure you don’t feel any pain during the process. After the extraction, you might experience some swelling and discomfort, but these symptoms can be managed with pain medication and proper care.



Wisdom tooth removal is usually a minor surgical procedure which requires gum removal, removal of bone to get access to the tooth and once the tooth is removed it generally needs suturing. At times when the wisdom tooth is fully erupted from the bone, it may not be necessary to cut open the gums and remove the bone.

Local anesthesia, sedation, or general anesthesia to ensure you are comfortable and pain-free during the procedure..

If the tooth is impacted, the dentist will make an incision in the gum tissue to expose the tooth and bone..

we will extract the wisdom tooth. In some cases, the tooth may need to be sectioned into smaller pieces for easier removal.

Gauze is placed over the extraction site to help control bleeding and assist in the formation of a blood clot.

We may need to stitch the incision to promote proper healing. Some stitches dissolve over time, while others require a follow-up visit for removal.

You will be given instructions on how to care for the extraction site, including how to manage any discomfort, swelling, and potential bleeding.
The dentist or oral surgeon will administer appropriate anesthesia to ensure you don’t feel any pain during the extraction. You may experience some discomfort during the recovery period, which can be managed with pain medications.
The duration of the procedure depends on the complexity of the extraction, the position of the tooth, and other individual factors.
Generally, it can take anywhere from a few minutes to over an hour.
You might experience some swelling, discomfort, and mild bleeding after the procedure. Following the post-operative instructions provided by your dentist is crucial for proper healing.
You should rest for the first day after the procedure and avoid strenuous activities for a few days. Your dentist will provide specific guidance based on your case.
Stick to soft foods and liquids for the first day or two and gradually reintroduce solid foods as your mouth heals. Avoid hard, chewy, or spicy foods that may irritate the extraction site.
While complications are rare, it’s essential to be aware of potential risks such as dry socket, infection, or nerve damage. Following your dentist’s instructions can help minimize these risks.
Website by Socialkey Guru
Dr. Shashank Arora
B,D,S M.D.S ENDODONTIST & IMPLANTOLOGIST
Hey, how can I help you today?