Dental braces are orthodontic devices used to straighten teeth, correct bite problems, and improve overall dental alignment. They gently apply continuous pressure over time to move teeth into healthier positions. Braces not only enhance the appearance of your smile but also contribute to better oral health by making teeth easier to clean and reducing the risk of future dental issues. They come in several types, including traditional metal braces, ceramic braces, and clear aligner systems, allowing patients to choose an option that fits their needs and lifestyle.

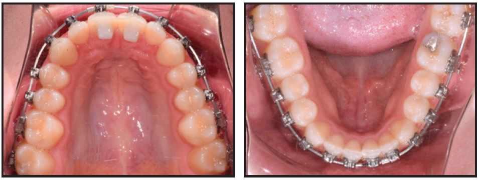
Your orthodontist bonds small metal or ceramic brackets onto each tooth using safe dental glue.

A thin metal archwire is inserted through the brackets.The archwire is pre-shaped to the ideal alignment, and it’s the main source of gentle force.

Small rubber bands (ligatures) are wrapped around each bracket to secure the wire.

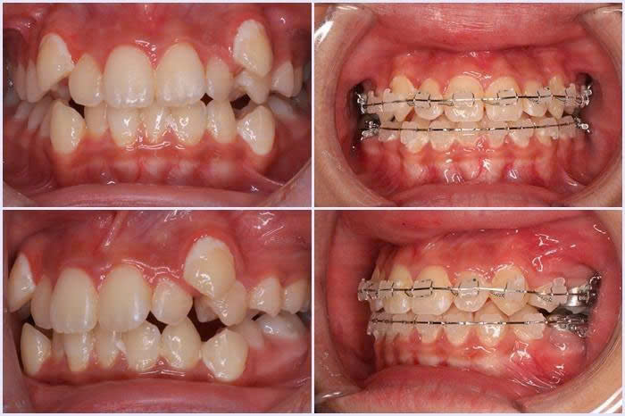
The wire applies a light, steady force on teeth. Purpose: The pressure causes bone beside the tooth to soften on one side. New bone builds up on the opposite side. This natural process is called bone remodeling, and it slowly shifts teeth into new positions.

Every 4–6 weeks, the orthodontist tightens or replaces the wire and elastics. Ensures teeth continue moving correctly and efficiently.

Every 4–6 weeks, the orthodontist tightens or replaces the wire and elastics. Ensures teeth continue moving correctly and efficiently.
Brackets and wires apply gentle pressure to move teeth into the correct position over time.
You may feel mild soreness for a few days after placement or adjustments, but it usually fades quickly.
Most treatments last 12–24 months, but this varies depending on the case.
Usually every 4–6 weeks for adjustments.
Yes! Adults can benefit just as much as teens. Many adults choose ceramic braces or clear aligners for a more discreet look.
Yes—if you wear your retainer after treatment. Not wearing it can cause teeth to shift back.
Website by Socialkey Guru
Dr. Shashank Arora
B,D,S M.D.S ENDODONTIST & IMPLANTOLOGIST
Hey, how can I help you today?